ทำวีเนียร์ที่ฟันสไมล์โคราชราคาถูก
มีโปรโมชั่นทั้ง วีเนียร์ฟันแบบฉีด และ วีเนียร์เซรามิก
วีเนียร์โคราชที่ไหนดี ต้องที่คลินิกฟันสไมล์ วีเนียร์มี 2 แบบให้เลือกคือ วีเนียร์คอมโพสิตแบบฉีด และ วีเนียร์เซรามิก
วีเนียร์ที่ฟันสไมล์ใช้ระบบดิจิตอลทั้งระบบ มั่นใจได้ในความสวยงามตรงปกโดนใจ สวยได้ไม่ต้องลุ้นด้วย เทคโนโลยี digital smile design
ออกแบบวีเนียร์ที่เหมาะกับใบหน้า คนไข้สามารถเลือกรูปทรงฟันที่ต้องการได้ตามใจชอบ

ดิจิตอลวีเนียร์ ทั้งระบบที่แรกในโคราช
เพิ่มความสวยงามตรงใจขั้นสุด ชอบแบบไหนได้แบบนั้นไม่ต้องลุ้นสแกนช่องปาก 3D สร้าง model ฟันจำลอง
เข้าโปรแกรมออกแบบรอยยิ้ม Smile Design ร่วมกับคนไข้ เพื่อให้คนไข้ได้เลือกรูปทรงฟัน และสีฟันที่ชอบใจโดนใจมากที่สุดทดลอง
Mockup แบบฟันวีเนียร์จำลองในช่องปากคนไข้ เพื่อเช็คว่าเข้ากับใบหน้าไหม ชอบไหมเมื่อใส่วีเนียร์ของจริง
ทดลอง mockup แบบฟันวีเนียร์จำลอง
ในช่องปากคนไข้ เพื่อเช็คความเข้ากันกับใบหน้าของคนไข้จำลองรูปแบบฟัน หลายรูปแบบเพื่อให้คนไข้ได้เลือกรูปทรงฟันที่เหมาะสม
และ เข้ากับใบหน้ามากที่สุด พร้อมเปรียบเทียบให้คนไข้ได้เห็นแบบเรียลไทม์
วีเนียร์แบบฉีดดีไหม
วีเนียร์แบบฉีด หรือ วีเนียร์คอมโพสิตแบบฉีด ใช้คอมโพสิตเหลวฉีดเข้าไปในบล็อกวีเนียร์ที่ออกแบบไว้แล้ว จึงทำเสร็จภายในเวลาไม่นาน และ ใช้เทคนิคใหม่ๆ ทั้งเรื่องของการขึ้นรูปฟันด้วยโปรแกรมสามมิติ ทำให้คนไข้สามารถเห็น และ ได้ลองมีฟันใหม่ก่อนการเริ่มทำวีเนียร์จริง
เพื่อให้ได้รอยยิ้มที่ตรงใจที่ชอบที่สุด ยิ้มสวยไม่ต้องลุ้น วีเนียร์แบบฉีดสามารถอยู่ได้นานประมาณ 3-5 ปี

วีเนียร์แบบฉีดราคาซี่ละ 5,000.-
ทำ 8 ซี่ขึ้นไป ลดเหลือซี่ละ 3,750.-
ราคาพิเศษวันนี้แถมฟรี Digital Smile design มูลค่า 5,000.-
รีวิววีเนียร์แบบฉีด

วีเนียร์แบบฉีดราคาซี่ละ 5,000.-
ทำ 8 ซี่ขึ้นไป ลดเหลือซี่ละ 3,750.-
ราคาพิเศษวันนี้แถมฟรี Digital Smile design มูลค่า 5,000.-
วีเนียร์เซรามิกที่ฟันสไมล์โคราช
ใช้ระบบดิจิตอลทั้งระบบที่แรกในโคราช
เริ่มตั้งแต่การสแกนฟัน 3D ออกแบบรอยยิ้ม Digital Smile Design ขึ้นรูปฟันด้วยโปรแกรมสามมิติ
การสร้างชิ้นงานด้วย 3D printer ลองมีฟันใหม่ก่อนการรักษาจริง เมื่อคนไข้ชอบรูปทรงฟันแล้วจึงใส่ชิ้นงานวีเนียร์จริง



ใช้ระบบดิจิตอลทั้งระบบที่แรกในโคราช
เพื่อการออกแบบที่แม่นยำ และ เหมาะสมกับคนไข้มากที่สุด

หลังจากออกแบบชิ้นงาน และ สร้างชิ้นงานด้วย 3D Printer
จะได้ชิ้นงานออกมาเพื่อให้คนไข้ได้ทดลองมีฟัน ใหม่ก่อนการรักษาจริง เมื่อคนไข้ชอบรูปทรงฟันแล้วจึงใส่ชิ้นงานวีเนียร์ของจริง
วีเนียร์เซรามิกราคาซี่ละ 15,000.-
พิเศษเมื่อทำ 8 ซี่ขึ้นไป ลดเหลือ ซี่ละ 12,000.-
กดรับสิทธิ์วันนี้แถมฟรี
-
Scan ฟัน 3D มูลค่า 5,000.-
-
Digital smile Design มูลค่า 5,000.-
-
Mockup ลองแบบฟันจำลองในช่องปาก มูลค่า 5,000.-
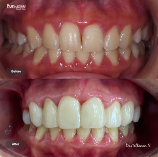
รีวิววีเนียร์เซรามิก

รีวิววีเนียร์เซรามิก

หลังทำ
ก่อนทำ
เลื่อนลูกศรเพื่อดูผลลัพธ์ที่แตกต่าง
การทำวีเนียร์ ขั้นตอนสำคัญคือ หมอและคนไข้ต้องเข้าใจตรงกันว่า
คนไข้ชอบฟันทรงไหน อยากได้ฟันเฉดสีไหน
การใช้ระบบดิจิตอลมาช่วยออกแบบวีเนียร์ จะทำให้คนไข้เห็นเลยว่า หน้าตาของตัวเองจะเป็นอย่างไรถ้าเลือกฟันทรงนี้ สีนี้
ถ้าดูแล้วยังไม่โดนใจ หมอก็ออกแบบทรงฟันใหม่ให้ดูได้ทันที แค่คลิกเดียวค่ะ หมอมีทรงฟันให้เลือกเป็นร้อยแบบ พร้อมปรับแต่งรูปร่างและสีฟันให้เหมาะสมเฉพาะบุคคลได้เลยทำวีเนียร์ที่ฟันสไมล์ มั่นใจได้เลยนะคะว่าได้รอยยิ้มวีเนียร์สวยๆตรงตามแบบที่ชอบแน่นอนค่ะ คลินิกฟันดิจิตอลแห่งแรกแห่งเดียวในโคราชอยากทำฟันแบบทันสมัย สวย รวดเร็วปลอดภัย เลือกฟันสไมล์นะคะ
พิเศษเมื่อทำ 8 ซี่ขึ้นไป ลดเหลือซี่ละ 12,000.-
วีเนียร ์เซรามิกราคาซี่ละ 15,000.-
กดรับสิทธิ์วันนี้แถมฟรี
-
Scan ฟัน 3D มูลค่า 5,000.-
-
Digital smile Design มูลค่า 5,000.-
-
Mockup ลองแบบฟันจำลองในช่องปาก มูลค่า 5,000.-












































